
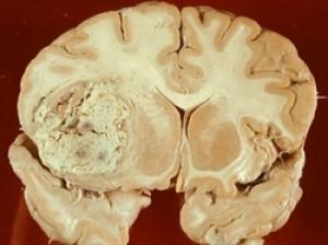
Астроцитомой называется опасное онкологическое заболевание, которое поражает ЦНС. Чаще всего от этого недуга страдает кора больших полушарий. Он может развиться в любом возрасте, в том числе в детском. Болезнь поражает мозжечок или основание головного мозга. В редких случаях новообразование оказывает деструктивное воздействие на спинной мозг. Опасность этой опухоли в том, что на ранних стадиях ее определить крайне сложно. Даже после проведения обследования не всегда можно поставить правильный диагноз. Это связано с тем, что по плотности опухоль практически ничем не отличается от вещества головного мозга. Внутри новообразования может образоваться киста. Она увеличивается постепенно, но может достигнуть огромных размеров. Как правило, кисты образовываются в детском возрасте.
Причины появления новообразования
Это онкологическое заболевание может возникнуть из-за следующих факторов:
- наследственной предрасположенности;
- плохой экологии (радиационного воздействия);
- появления в организме вирусов, обладающих высоким уровнем онкогенности;
- воздействия на организм токсинов.
Если у родственников человека наблюдался данный недуг, то в таком случае ему необходимо регулярно проводить диагностические обследования. Обнаружение опухоли на ранней стадии существенно упрощает процесс ее лечения. На поздних стадиях, к сожалению, избавиться от астроцитомыневозможно.
Группы
Сейчас выделяют 4 группы опухолей. Они отличаются злокачественностью и характеристиками.
Астроцитома бывает следующей:
- Пилоидной. Ее принято называть доброкачественной. Развивается она медленно, но имеет четко выраженные контуры. Во многих случаях этот недуг встречается у детей. Он оказывает деструктивное воздействие на стволы спинного мозга. Такое заболевание при своевременном выявлении без проблем лечится.
- Фибриллярной. Такая опухоль также является доброкачественной, но она имеет вторую степень злокачественности. Как это понимать? Это новообразование изменяет размеры в течение долгого времени. Его опасность заключается в том, что оно не имеет четких граней. Как правило, с данным недугом сталкиваются молодые люди в возрасте 20-30 лет.
- Анапластической. Астроцитома имеет третью степень злокачественности. Растет она довольно быстро и практически не подвергается полному удалению.
- Глиобластомой. Данное новообразование является самым опасным. Оно "прорастает" в мозговые ткани, в результате чего возникает некроз мозга. Как правило, такой недуг встречается среди людей преклонного возраста.
Признаки
К сожалению, на ранних стадиях обнаружить астроцитому крайне сложно. Симптоматика зависит от того участка, где развивается опухоль. Больные зачастую жалуются на головные боли, резкое повышение артериального давления, тошноту, рвоту, головокружение, слабость. У некоторых пациентов также могут наблюдаться ухудшение зрения, мозговой активности. У людей возникают проблемы с памятью и речью. Резкое изменение настроение - еще один признак данного заболевания.
Если опухоль развивается в мозжечке, то пациент сталкивается с дисбалансом координации и движения, в затылочной области - галлюцинациями и нарушением зрения. Образование астроцитомы в теменной доле приводит к нарушению мелкой моторики, височной - памяти, речи, координации. Характер больного может измениться в том случае, если новообразование развивается в области лба.
Как лечится?
К сожалению, полностью избавиться от данного заболевания крайне сложно. Но если своевременно приступить к его лечению, то можно прожить намного дольше. Например, люди, у которых была обнаружена астроцитома на первой стадии (пилоидная), могут прожить около 5 лет. При наличии анапластической жизнь пациента не превышает 1 года.
Главная сложность этой болезни в том, что она склонна к рецидиву. Даже после операции доброкачественное образование может превратиться в злокачественное. Сейчас предлагаются такие эффективные методы лечения онкозаболевания:
- Химиотерапия. Такой способ лечения астроцитомы не всегда приносит положительные результаты, но он является замечательной альтернативой лучевой. Только в 20% случаев состояние пациентов улучшается.
- Лучевая терапия. Этот метод лечения опухолей является весьма эффективным. Его суть заключается в ионизирующем излучении. Оно, в свою очередь, повышает эффективность хирургического лечения и дает шанс выжить.
- Хирургическое вмешательство. Данная процедура проводится с целью удаления всех пораженных тканей. Поскольку в большинстве случаев это онкологическое заболевание не имеет четких контуров, назначается частичная резекция.
Перед тем как приступить к лечению недуга, пациент должен пройти ряд диагностических обследований. Именно от них зависит метод терапии.














