
Сейчас существует масса способов, которые дают возможность быстро и безболезненно восстановить зубы, а также устранить с их поверхности характерные белые пятна.
Как восстановить зубы после брекет?
Брекеты – один из самых популярных видов лечения прикуса и других возможных зубочелюстных аномалий в ортодонтии. Несмотря на то, что аппараты обеспечивают высокую результативность, часто длительный срок лечения (в среднем от 12 до 36 месяцев) оставляет следы на зубной эмали пациента. После снятия брекет-систем на зубах могут проявиться разные дефекты, которых не было перед установкой. Сегодня мы расскажем, как восстановить поврежденную эмаль и предотвратить появление кариеса или других заболеваний.
3 способа восстановить зубную эмаль после брекет-систем
Брекеты устанавливают при помощи специального адгезива, который не оказывает негативного воздействия, а, напротив, обеспечивает максимальную защиту. Но с течением времени вокруг «замочков» собираются бактерии и микроорганизмы, которые приводят к деминерализации эмали. К счастью, сегодня существует масса способов, которые дают возможность быстро и безболезненно восстановить зубы, а также устранить с их поверхности характерные белые пятна.
-
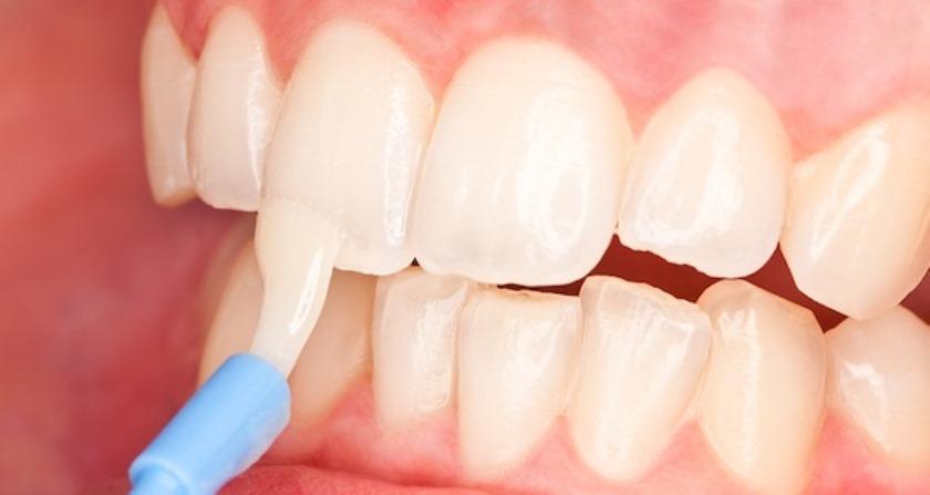
Реминерализация
Одним из наиболее распространенных способов восстановления – это реминерализация. Это весьма эффективный метод, поскольку он позволяет решить проблему, которая, собственно, приводит к появлению пятен. Так, пациенту назначают конкретный вид пасты или особое лечебное средство, которое необходимо применять в течении периода лечения, назначенного стоматологом. Зубы постепенно насыщаются минералами, а белые и желтые пятна исчезают.
-
Реставрация
К художественной и композитной реставрации прибегают если пораженные участки опускаются ниже поверхности окружающей эмали. Эта методика позволяет исправить эстетические проблемы, связанные с потемнением, обесцвечениванием или пожелтением зубов. В последнее время большую популярность завоевали виниры. Тонкие фарфоровые пластины, которые имитируют зуб, изготавливают по индивидуальному слепку и закрепляют посредством специального зубного цемента. Однако некоторые дантисты рекомендуют всё же традиционную реставрацию, поскольку виниры очень дорогое удовольствие.
-
Микроабразия
Еще один вариант, который поможет избавиться от пятен – микроабразия. Процесс подразумевает под собой протирку поверхности зубов с помощью раствора из мелких частиц пемзы и соляной кислоты. В результате эмаль шлифуется и полируется, в пораженные зоны становятся менее заметны или полностью исчезают. Преимуществом данной методики является то, что её комбинируют с другими процедурами, которые в совокупности позволяют добиться максимального эффекта.
Отметим, что если соблюдать и своевременно выполнять рекомендации врача касательно гигиены полости рта во время корректировки прикуса, риск возникновения осложнений после снятия брекет уменьшается вдвое. Так, стоматологи рекомендуют использовать при чистке систем вспомогательные приспособления и ополаскиватели, насыщенные фтором.
Больше информации: Стоматология Zet3














